Clínica Dental en Santiago Centro
Atención odontológica integral en Santiago Centro
Servicios dentales para toda la familia
Tu dentista de confianza en Santiago Centro
¿Te gustaría contar con un plan dental que te garantice atención permanente durante un año?
Trabajamos con Seguros Complementarios

Horarios de Atención
- De lunes a viernes9:00 hasta 18:00
- Sábados9:00 hasta 16:00
- DomingosPrevia Cita
Nuestras Noticias

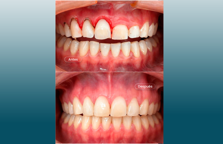
Una sonrisa armónica no solo depende de los diente, también de las encías.

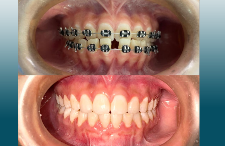
Antes y Después – Tratamiento de Ortodoncia

Rehabilitación Oral: Función, Estética y Armonía

UN POCO DE
NUESTRA HISTORIA
Odontofamilia es una clínica dental que tiene sus orígenes en un pequeño estado de Venezuela llamado sucre, específicamente en cumana, situada al oriente del país.
Fue fundada en el año 2011 por los Dres. Edguard Mata y Teniska González, casados, y con el mismo sueño en común, crear una clínica dental enfocada en la atención personalizada de los problemas integrales y bucales del paciente, cuya filosofía se ha desarrollado con la idea clara que los pacientes son el principal activo de la clínica y de todo el equipo de trabajo.
En OdontoFamilia creemos que tu sonrisa merece más que un buen tratamiento: merece atención cercana, calidad en cada detalle y un equipo de profesionales comprometidos con tu bienestar.
Somos una clínica dental integral dedicada a ofrecer soluciones reales a las necesidades de nuestros pacientes. Nuestro enfoque combina la tecnología moderna con el trato humano y personalizado que nos caracteriza.

MÁS DE 10 AÑOS DE EXPERIENCIA
NUESTRO ACTIVO MÁS IMPORTANTE ERES TÚ
ESPECIALISTAS CERTIFICADOS
Especialidades Destacadas

¿En que consiste la Limpieza Dental?
Elimina el sarro, la placa y mejora tu aliento.
La limpieza dental profesional es fundamental para prevenir enfermedades como gingivitis o periodontitis. Usamos equipos especializados para eliminar el sarro acumulado en zonas donde el cepillo no llega, dejando tus dientes y encías sanos.
¿Cada cuánto se recomienda?
- Cada 6 meses como parte del cuidado preventivo.
- Con mayor frecuencia si presentas encías inflamadas, sangrado o mal aliento.

¿Que es la Implantología?
Es un área de la odontología que consiste en la colocación de uno o varios tornillos de titanio biocompatibles con el cuerpo humano. Dichos tornillos, también llamados “Implantes dentales” se colocan dentro del hueso y sustituyen las raíces de él o los dientes perdidos. Posteriormente, sobre los Implantes se instalan las coronas dentales, las cuales simulan la pieza dental perdida.
La principal ventaja de este tratamiento es que nos permite reemplazar las piezas ausentes por una pieza fija, que durará para siempre. El paciente podrá masticar de manera habitual, los alimentos, sonreír con seguridad y mejorar su autoestima.

Sobre la Rehabilitación Oral
Es la especialidad encargada de devolver la estética y función oral cuando se han perdido una o varias piezas dentales, originado bien sea por caries, enfermedad de las encías o traumatismos. Dicho procedimiento es realizado mediante el uso de prótesis dentales.
Existen varios tipos de prótesis dentales:

¿Que es el Blanqueamiento Dental?
Es un tratamiento estético dental que logra dientes más blancos y brillantes.
Dicho tratamiento permite desaparecer manchas producidas por té, café, tabaco, alimentos, entre otros hábitos, cabe destacar que, para la realización de un blanqueamiento, es recomendable que el paciente no tenga caries.
Para más detalles, consulta con nuestros especialistas en el área.

Cirugía Oral
Es un tratamiento estético dental que logra dientes más blancos y brillantes.
Dicho tratamiento permite desaparecer manchas producidas por té, café, tabaco, alimentos, entre otros hábitos, cabe destacar que, para la realización de un blanqueamiento, es recomendable que el paciente no tenga caries.
Para más detalles, consulta con nuestros especialistas en el área.

Ortodoncia
Es la especialidad que se encarga de la corrección de los dientes y huesos posicionados incorrectamente.
Los dientes en mala posición tienen una mala apariencia estética, son difíciles de mantener limpios, corren riesgo de sufrir caries y/o enfermedades de las encías. Una mala oclusión o mordida puede ocasionar molestias en la musculatura generando dolores de cabeza, cuello, hombros y espalda.
Actualmente la ortodoncia se usa tanto en niños como en adultos, logrando excelentes resultados.

Tapaduras Dentales (Restauraciones)
Tratamos caries y restauramos la forma y función de tus dientes.
Las tapaduras, también conocidas como restauraciones, se utilizan para rellenar cavidades causadas por caries. Eliminamos el tejido dañado y lo reemplazamos con un material estético y duradero (resina), devolviéndole al diente su aspecto y funcionalidad.
¿Cuándo lo necesitas?
- Si tienes caries visibles o dolor al masticar.
- Si se te cayó una tapadura antigua.
- Si tienes manchas negras o cavidades en el diente.
Seguimos creciendo gracias a ti!
2011
Clínica Odontofamilia Sede Cumaná-Venezuela
Fundada en el año 2011 por los Dres. Edguard Mata y Teniska González, casados, y con el mismo sueño en común, crear una clínica dental enfocada en la atención personalizada de los problemas bucales del paciente.
2020
Primera Sucursal de la Clínica Odontofamilia en Santiago de Chile
Fundada en el año 2020 por los Dres. Edguard Mata y Teniska González, con 10 años de experiencia en el área de salud bucal, y con la finalidad de continuar ofreciendo una atención de primera a nuestros pacientes, quienes son el principal activo de la clínica.
2022
Segunda Sucursal de la Clínica Odontofamilia en Santiago de Chile
Fundada en el año 2022 en la ciudad de Santiago de Chile, por los Dres. Edguard Mata y Teniska González, con la finalidad de continuar ofreciendo una atención personalizada a cada uno de nuestros pacientes, quienes son el principal activo de la clínica.
400
Urgencias atendidas
2500
Pacientes rehabilitados y felices
600
Sonrisas creadas con nuestros tratamientos de Ortodoncia
1000
Niños adaptados a nuestra consulta especializada en odontopediatria
100
Pacientes atendidos de manera gratuita en el marco de nuestro plan de servicio social
Testimonios
Hablan Nuestros Pacientes
Acudí a Odontofamilia debido a que tenía mucho tiempo sin realizarme una consulta odontológica. La evaluación inicial fue totalmente gratis y posterior a esto me realizaron distintos tratamientos tales como; Coronas Dentales, Resinas en la parte superior e inferior, y por último unas incrustaciones de unas piezas que me incomodaban mucho y estaban sensibles al frio. Recomiendo 100% a Odontofamilia, estoy encantada con su trabajo
Llevo aproximadamente 5 meses con el tratamiento de ortodoncia, la dra. Super amable, me explicó como iba hacer mi proceso, el cual ha sido bastante rápido porque ya logro notar mi avance, por eso los recomiendo 100%.
Acudí a Odontofamilia porque tenía problema en los incisivos centrales, me realicé un tratamiento de carillas y el cambio fue del cielo a la tierra. Me siento muy contento con el resultado obtenido, y los recomiendo 100%, excelente trabajo



