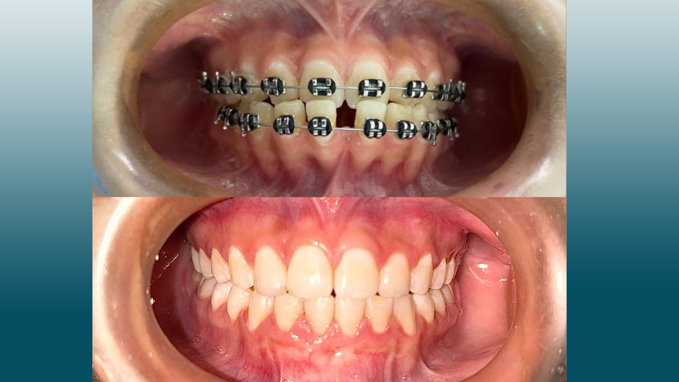
La transformación de una sonrisa no es solo un cambio estético, es una mejora funcional y estructural que impacta directamente en la calidad de vida del paciente.
En este caso, el tratamiento de ortodoncia permitió:
•Corregir la alineación dental
•Mejorar la mordida
•Lograr mayor armonía en la sonrisa
•Optimizar la función masticatoria
Cada tratamiento es personalizado y planificado según las necesidades específicas del paciente, utilizando diagnóstico clínico y seguimiento continuo para garantizar resultados seguros y efectivos.
La constancia, el compromiso y una correcta planificación hacen posible este tipo de resultados.




