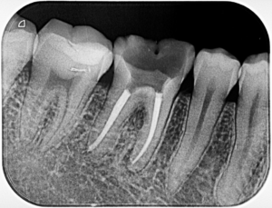
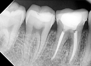
Rehabilitación Oral: Función, Estética y Armonía
Rehabilitación oral con coronas esteticas
En Odontofamilia cuidamos la salud bucal de toda tu familia con un enfoque cercano, profesional y personalizado. Creemos que una sonrisa sana no solo mejora tu salud, sino también tu calidad de vida y confianza.
Nuestro equipo de profesionales trabaja con dedicación, tecnología actualizada y un trato humano, para que cada visita sea una experiencia segura, cómoda y libre de miedos.
Conoce el antes y el después de este tratamiento de corona.




¿Cada cuánto debo hacerme una limpieza dental?
Cambios que hablan por sí solos
El cuidado dental va más allá de lo estético: se trata de devolverle a nuestros pacientes la seguridad para sonreír sin miedo. En esta imagen puedes ver el contraste entre el antes y después de un tratamiento realizado en nuestra clínica. Gracias a la experiencia de nuestro equipo, logramos resultados naturales y duraderos que mejoran tanto la salud bucal como la confianza personal.
MIRA ESTE CAMBIO| TRATAMIENTO DE ORTODONCIA METÁLICA CONVENCIONAL.
Ortodoncia en acción 💪🔝
Mira cómo logramos alinear esta sonrisa con un tratamiento personalizado y seguimiento constante.
Cada diente en su lugar, cada paciente feliz 😁
¿Quieres empezar tu cambio? Agenda tu evaluación inicial GRATIS 🦷✨
📲+56 9 6634 0338
Nuestros pacientes son nuestra mejor publicidad.
Su sonrisa es el reflejo de nuestro compromiso con una atención segura, sin dolor y de calidad. ¡Gracias por confiar en nosotros!
Nada habla mejor de nosotros que la sonrisa de nuestros pacientes.
Cada historia es un paso más hacia una experiencia dental sin ansiedad y con total confianza.
📲 Escríbenos y descubre cómo podemos ayudarte a sonreír sin miedo.
+56 9 6634 0338
CASO DE ORTODONCIA METÁLICA CONVENCIONAL EXITOSO
Te compartimos este antes y después de una de nuestras pacientes ♥️🥹
Una sonrisa perfecta puede cambiar tu vida, aumentar tu confianza y mejorar tus relaciones.
¡Descubre cómo nuestro tratamiento de ortodoncia puede ayudarte a lograr la sonrisa de tus sueños!
📲Contáctanos al: +56 966340338.
📍Estamos ubicados en Paseo Huérfanos 1160 ( Galería Alessandri) piso 8, oficina 810.
#dentistas #dental #odontología #odontolovers #ortodoncia
BLANQUEAMIENTO DENTAL
El blanqueamiento dental es un tratamiento estético que debe realizarse en varias etapas o sesiones para lograr el resultado esperado.
En odontofamilia dicho tratamiento se hace de manera combinada, mediante la aplicación del producto en el consultorio, y posteriormente se confeccionan cubetas acrílicas personalizadas para cada paciente y se le suministran junto con unas jeringas de blanqueamiento para que en casa puedan llevar a cabo dicho proceso, siempre bajo supervisión del dentista tratante.
Te gustaría realizarte este tratamiento? Agenda una cita de evaluación con nosotros (GRATIS) y te orientaremos en lo que necesites.
#Dentista #dental #blanqueamiento #diseñodesonrisa #clinicadental #sonrisa
Tratamiento de Ortodoncia Metálica Convencional combinado con estética dental. 16 meses de tratamiento
El uso de brackets metálicos puede tener un impacto significativo en la estética de tu sonrisa. A medida que tus dientes se mueven y se alinean correctamente, notarás una mejora en la apariencia de tu sonrisa. La corrección de problemas dentales como mordidas deficientes o dientes torcidos contribuirá a una sonrisa más armoniosa y atractiva.
Te compartimos esta evolución en donde se evidencia el antes y el después del tratamiento de ortodoncia de una de nuestros pacientes.










