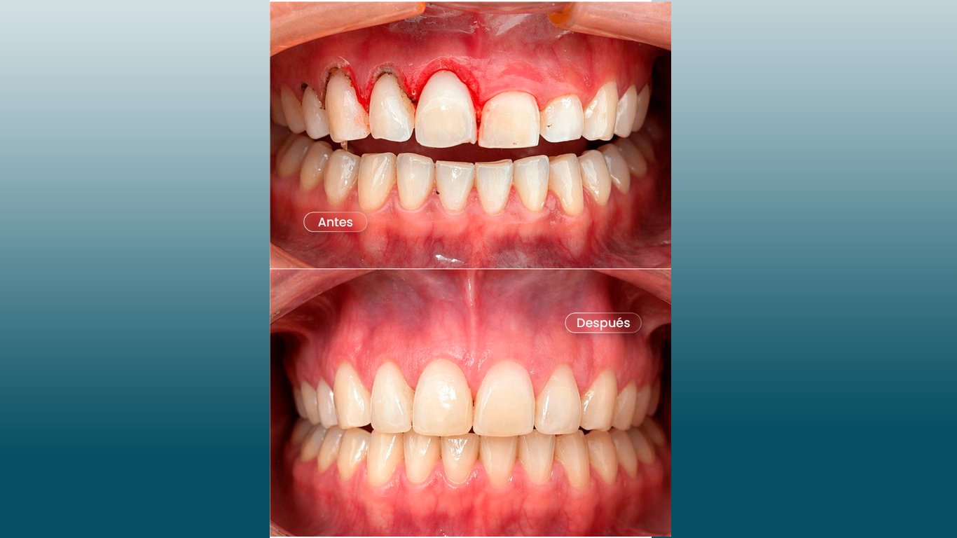
En este caso realizamos una gingivectomía + remodelación con borde en resina para mejorar la forma, proporción y estética de la sonrisa.
Muchas veces, pequeñas correcciones hacen una gran diferencia: encías más simétricas, dientes más armoniosos y un resultado mucho más natural.
La odontología estética no se trata de cambiar tu sonrisa, sino de resaltar su mejor versión.
Si sientes que tu sonrisa puede mejorar, una valoración profesional es el primer paso.
#Gingivectomía #ResinaDental #DiseñoDeSonrisa #OdontologíaEstética #santiagocentro














