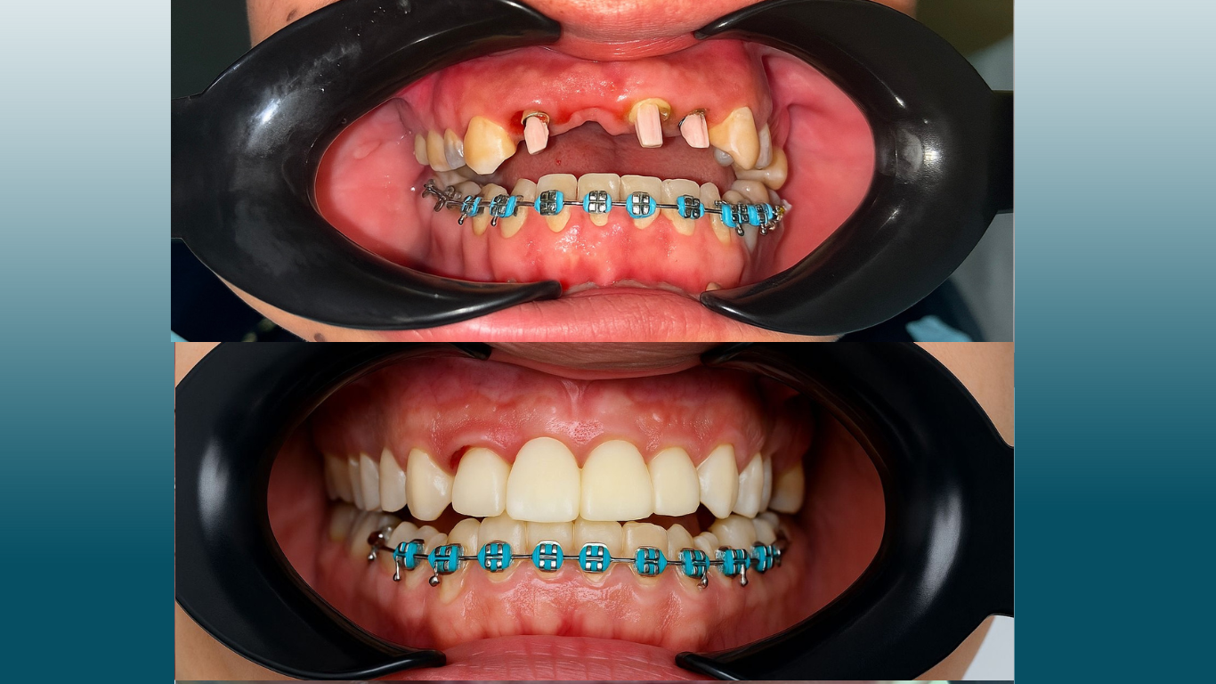
El cuidado dental va más allá de lo estético: se trata de devolverle a nuestros pacientes la seguridad para sonreír sin miedo. En esta imagen puedes ver el contraste entre el antes y después de un tratamiento realizado en nuestra clínica. Gracias a la experiencia de nuestro equipo, logramos resultados naturales y duraderos que mejoran tanto la salud bucal como la confianza personal.

Otras Noticias
14 Mar, 2022
TRATAMIENTO: Blanqueamiento Dental
Porque nuestra misión es verlos sonreír, les traemos hoy un caso de blanqueamiento dental. ⠀ La ventaja de este tratamiento… Leer Mas
22 Jul, 2025
MIRA ESTE CAMBIO| TRATAMIENTO DE ORTODONCIA METÁLICA CONVENCIONAL.
Ortodoncia en acción 💪🔝 Mira cómo logramos alinear esta sonrisa con un tratamiento personalizado y seguimiento constante. Cada diente en… Leer Mas
07 Ene, 2022
Tratamiento: Protesis total acrílica superior y prótesis removible inferior.
Una vez más el equipo de Odontofamilia cumple las expectativas de sus pacientes realizando un trabajo de calidad. El presente… Leer Mas



