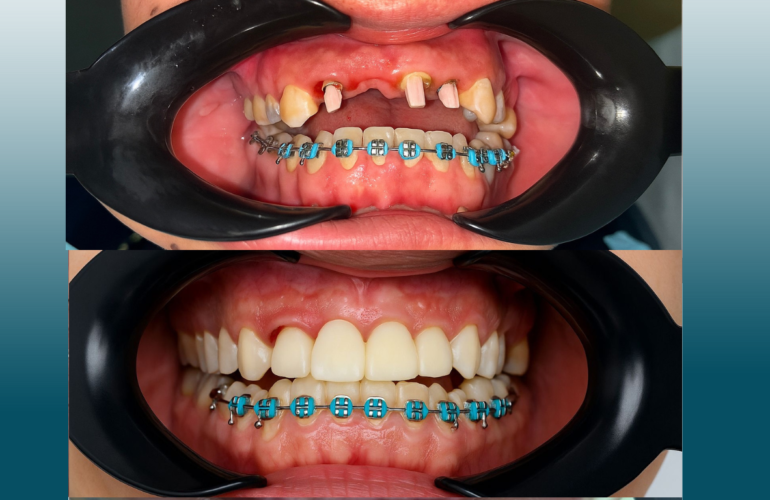
Tratamiento exitoso ✅
En este caso le realizamos a la paciente una corona en Disilicato de Litio, un material que le permite recuperar la función masticatoria y estética de la pieza dental.
Gracias a las propiedades estéticas de este material las coronas en Disilicato de Litio están indicadas en coronas individuales, como también en la rehabilitación con puentes fijos para sustituir dientes perdidos en algunas zona estética.
Gracias a este tratamiento la paciente sonríe con confianza 😍




